














Website Disclaimer
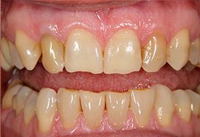
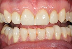
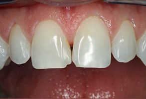
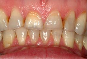
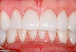
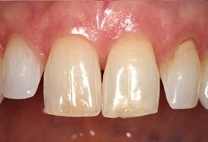
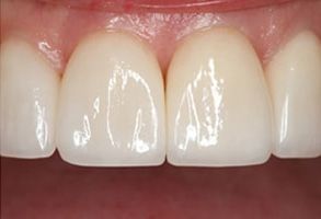
This website represents our story in our own words. We do not use stock photos or content from big advertising agencies. The before and after pictures you see showcase treatment that our clinicians actually performed.
Please note that the information we present here is only meant to give a basic idea about general dentistry and the services we provide for our patients. This information is not intended as medical or dental advice or opinion. You should not use our website as a substitute for visiting your healthcare provider. Please consult your doctor or dentist regarding specific conditions.